なんでも矯正すれば100%きれいに歯が並ぶ
セットアッフ模型
セットアップ模型、すなわち、石膏模型から、歯の部分を切り放したのち、正しい歯並びとなるよう再配列した模型を矯正前に作製します。そうすることによって、歯が正しく並べられるかどうかのシュミレーションができます。
また、正しく並べられない場合も、その対応を前もって考えることができます。適切な診断・治療計画のために矯正前に作製する模型をセットアップ模型といいます。矯正を行う前に、すでに術後の状態が、確認できるのです。
セットアッフ模型の作業手順
セットアップ模型の作製手順としてはまず、石膏模型の複製を作り、模型から歯を慎重に切り離し、ワックスを用いて元の模型上で新しい位置に歯を配列します。こうすることによって、審美的にも機能的にも優れた咬合を創れるかどうかの確認ができます。
 |
|
上の石膏模型
|
|
 |
|
切り取った歯
|
|
 |
|
ワックスで固定
|
|
 |
|
歯を並べる前の
セットアップ模型
|
|
セットアップ模型で歯が正しく並ぶ場合
セットアップ模型で歯で正しく並ばない理由
- 骨格的に上下のアゴの大きさが違っている場合(例えば、出っ歯・受け口)
- 骨格に問題ないが歯の大きさが上下で違っている場合
がありますが、治療がうまくいくかどうかを確認するためには、セットアップモデル上で歯を並べなおし、上下の歯がうまく咬合できるかどうかをみる必要があります。そこそこ並ぶだろうでは並ばず、矯正後に痛い目に会います。
模型上でうまく配列できない場合には、当然のことながら、口腔内でも歯をうまく配列することは難しいです。
どのような歯の移動を行い、歯冠の形態をどのように整え、また空隙をどこに、どのようにつくるかといった問題をセットアップ模型から正確にとらえることができます。
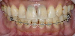
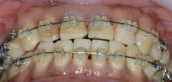
セットアップ模型どおりのことが実際に起こっています。このままでは前歯が噛まないままになってしまいます。
前歯の噛まない原因は、歯の長さにありましたので、歯を少し長くしました。
究極の矯正方法
セットアップ模型上で歯をきれいに配列し、実際の臨床でうまく並べるために、矯正装置の装着をセットアップ模型上で行い、そのままの形で口腔内にトランスファーする方法を採っています。今考えられる究極の矯正方法です。
|
|
|
矯正装置装着のセットアップ模型上での作業
|
|
|
|
矯正装置自体の位置をトランスファーする作業 最後は1歯1歯ごとに分割
|
 |
|
1歯1歯装着
|
|
|
 |
|
装着後
|
|
|
セットアップが必ず必要なリンガル矯正
セットアップ模型がないと、リンガルの場合、装置をつけられません。
それは、歯の内側は湾曲していて、装置の位置が定まらないからです。そのため、装着用のジグを必ず作製します。
 |
|
セットアップ模型
|
|
 |
|
装着用ジグ
|
|
 |
|
矯正装置装着時
|
|
 |
|
矯正装置装着後
|
|
セットアップ模型上で歯をきれいに配列し、実際の臨床で装着するために、矯正装置の装着をセットアップ模型上で行い、そのままの形で口腔内にトランスファーする方法を採らないと装着できないリンガル矯正は、今考えられる究極の矯正方法です。
唇側であれ、舌側であれ、セットアップ模型を作製し、術後をシュミレーションし、寸分の狂いのないトランスファー用の装着ジグで矯正装置をつけることが、究極の矯正方法です。
|
 |
|
お問合せ・ご予約
06-6344-5535 |