アクセス 院長紹介 医院設備 メール相談

不正咬合の種類

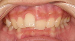
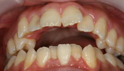
Ⅰ級叢生(乱杭歯、八重歯)

Ⅰ級叢生(乱杭歯、八重歯)
大阪 歯列矯正 かわさと歯科 矯正歯科 Ⅰ級叢生(乱杭歯、八重歯) 図解
歯の生える場所が足りないので、凸凹に生えたり、重なり合って生えています
顎が小さかったり、顎に対して歯の幅が大きい場合に起こります。

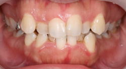
Ⅱ級(上顎前突・でっ歯)

Ⅱ級(上顎前突・でっ歯)
大阪 歯列矯正 かわさと歯科 矯正歯科 Ⅱ級(上顎前突・でっ歯)図解
上の前歯や歯列全体が前に突き出ている状態をいいます。
いわゆる、出っ歯、日本人に多いです。
Ex) 明石屋さんま

Ⅲ級(下顎前突・反対咬合・うけ口)

Ⅲ級(下顎前突・反対咬合・うけ口)
大阪 歯列矯正 かわさと歯科 矯正歯科 Ⅲ級(下顎前突・反対咬合・うけ口)図解
下の前歯が上の前歯より前に出ています。
横顔がしゃくれた感じになっています。
Ex) アントニオ猪木

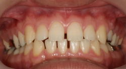
上下顎前突

上下顎前突
上も下も、前歯や歯列全体が前に突き出ている。
口元が前に突き出て見えます。
唇が自然には閉じにくいです。
日本人に多いです。
Ex) お猿さん

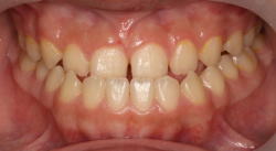
空隙歯列弓(すきっ歯)

空隙歯列弓(すきっ歯)
大阪 歯列矯正 かわさと歯科 矯正歯科 空隙歯列弓(すきっ歯)図解
歯の間が開いていて、歯列に隙間できています。
顎が大きかったり、歯の幅が小さい場合に起こります。

切端咬合

切端咬合
上下の前歯が先端で噛みあう状態になっています。

過蓋咬合

過蓋咬合
過蓋咬合 図解
かみ合わせが深く、下の歯列が上の歯列に覆われて見えなくなっています。
歯がすり減っています。咬む力の強い人に多いです。

開口

開口
開口 図解
かみ合わせが深く、下の歯列が上の歯列に覆われて見えなくなっています。
歯がすり減っています。咬む力の強い人に多いです。

ガミースマイル

ガミースマイル
笑うと上の歯茎がたくさん見えてしまいます。
Ex) 久本雅美
上へ
お問合せ・ご予約
06-6344-5535


かわさと歯科は、矯正歯科(歯列矯正/歯並矯正)の実績が豊富な大阪梅田駅近くの歯医者です