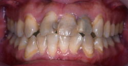
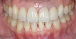
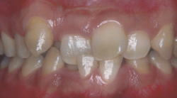
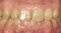
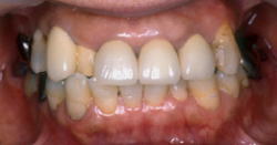
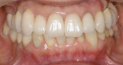
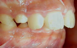
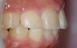
治療症例
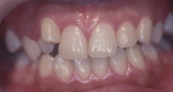
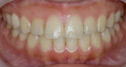
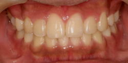
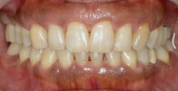
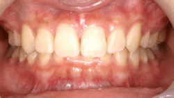
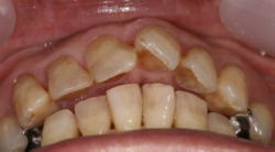
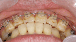
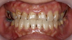
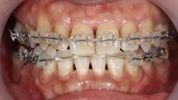
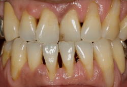
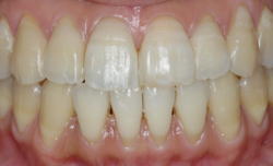
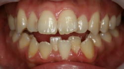
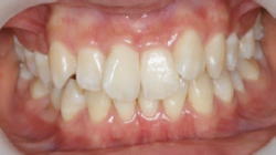
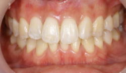
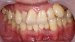
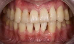
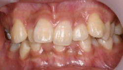
Ⅰ級叢生(乱杭歯)
![]() |
|
![]() |
|
|
||
![]() |
|
![]() |
|
|
||
![]() |
|
![]() |
|
|
||
![]() |
|
![]() |
|
|
||
![]() |
|
![]() |
|
|
||
![]() |
|
![]() |
|
|
|
|
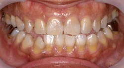
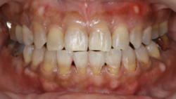
Ⅱ級(上顎前突・でっ歯)
![]() |
|
![]() |
|
|
||
![]() |
|
![]() |
|
|
||
![]() |
|
![]() |
|
|
||
![]() |
|
![]() |
|
|
||
![]() |
|
![]() |
|
|
||
![]() |
|
![]() |
|
|
|
|
Ⅲ級(下顎前突・うけ口)
![]() |
|
![]() |
|
|
||
![]() |
|
![]() |
|
|
||
![]() |
|
![]() |
|
|
|
|
切端咬合
![]() |
|
![]() |
|
|
||
![]() |
|
![]() |
|
|
||
![]() |
|
![]() |
|
|
|
|
開口(すきっ歯)
![]() |
|
![]() |
|
|
||
![]() |
|
![]() |
|
|
||
![]() |
|
![]() |
|
|
|
|
3インサイザル(下前歯3本 )
![]() |
|
![]() |
|
|
||
![]() |
|
![]() |
|
|
||
![]() |
|
![]() |
|
|
|
|
| お問合せ・ご予約 06-6344-5535 |
|












































































