綺麗のヒミツ
綺麗、すなわち美しさとは何だと思いますか?
顔の美しさとは輪郭であり、特に側貌の形が重要です。
つまりキレイの秘密は横顔ということ、正面から見た顔だけではないのです。
では、何が横顔の美しさの「決め手」となっているのでしょうか。
実は、「鼻から顎にかけての形」が決め手なのです。ですから美容整形や矯正歯科においは、鼻の先端から顎にかけての形をとても重要視し、ここを結ぶ直線をエステティックライン(E-ライン)と名付けて美しさの基準にしています。
E-ラインはアメリカの矯正家Dr.Richetts が考案したもので、顔貌と唇の関係を調べるためのものです。Dr.Richettsによると綺麗な側貌では下唇がE-ラインより2mm後方で、上唇は4mm後方に位置しています。
ただ、これは白人の場合であり、日本人だと綺麗な側貌では、それより4mm前突しており、下唇がE-ラインより2mm前方で、上唇はE-ラインに接した位置にあります。
E-ラインより前方に口唇があると、お猿さんの口元のように見えてしまいます。
|
美容整形と矯正歯科における治療法の違い
美容整形ではE-ラインと側貌を揃えるために、鼻や顎の位置を変えます。
しかし、矯正歯科では、鼻や顎の位置を変えるのではなく、唇の位置を変えることでE-ラインと側貌を揃えます。
つまり、美容整形では鼻と顎を増やし、矯正歯科では唇を下げることでE-ラインと側貌を揃えることになります。
では、どちらの方法がいいのでしょうか。口元が元々前に出ていれば矯正歯科で、そうでなければ美容整形で、ということになります。
|
矯正は美しくなるためだけに行うものではありませんが、美しくならなければ意味がありません。
どうすれば、矯正治療でE-ラインと側貌を揃えることができるか
日本人の場合、もともと口元がEラインより出ている人が多く、これを更に外に押し広げますと「口元もっこり」になって大いに悪影響が出てしまいます。
そのため、残念ながら歯を抜歯して、そのスペースに前歯を移動させることになります。
それ以外に不正咬合の原因となっているアンバランスを取り除いて、側貌(横顔)を改善する方法が見あたらないからです。生体のバランスを崩したままに終了した矯正治療が、後になっていかに多くの弊害をもたらすか、私たち専門医はよく知っています。また同時に、バランスを取り戻すことによっていかに改善するかも熟知しています。
その改善の目に見える部位として、側貌(横顔)があげられます。
大切な歯を抜きたくない気持ちは良く分かります。健康な歯を抜くことには抵抗があるでしょう。でもその歯が見た目を阻害し、不調和を招く原因であったとしたら・・・・。横顔は美しくなります。矯正で歯並が良くなるのは当然、でもそれだけで満足ですか?
当医院では、歯並びだけを治しているわけではありません。できるだけE-ラインの中に口元が収まるように、美しさに配慮したトータルな歯列矯正治療をおこなっています。
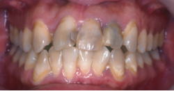
抜くと抜かないとでは、結果に驚くほどの差が生ずるのが側貌です。以下の写真をご覧下さい。
|
|||||||||||
側貌が改善し、美しく上品な口元になっています。これは軟組織と硬組織が調和したから得られたもの。矯正で大切なのはこの調和なのです。
ただ、歯を抜かない治療だからといって、横顔の美しさを犠牲にするべきではありません。
条件が整えば歯を抜かない矯正治療でも、綺麗な横顔になります。
当院ではむやみに抜歯をお勧めしておりません。お勧めする場合は、十分なメリットがあると確信したときだけです。
| お問合せ・ご予約 06-6344-5535 |
|








































