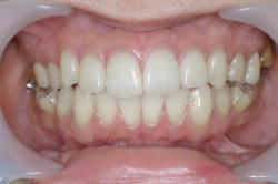
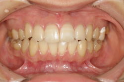
ホワイトニング
当院では、オフィス~ホームまで様々なホワイトニングを行っております。
~ホワイトニングの種類~
ホームホワイトニング (自宅で行います)
- フルセット(上下のトレー+1ヶ月分のホワイトニング材)
¥34,000(税別)
- 1シリンジ
¥1,000(税別)
- 通常、2時間程度、装着する
- ナイトホワイトは過酸化尿素、過酸化水素の混合ジェルになりました。これにより、痛みを抑えながらさらにトレーの装着時間を短縮することができるようになりました
- 歯磨き粉とトレーシートがすべてのキットに標準添付
- ホワイトニングをしたい時に自宅で簡単にすぐできる
オフィスホワイトニング (院内で行います)
レーザーやライトを治療時に使用します。
- 一時間寝ている間に白くなります
- 1回(上下前20歯)
¥14,000(税別)
- 初回は、続けて3回行うことをおすすめします
- 35%の過酸化水素を含むビヨンドを使用
- 1時間寝ている間にホワイトニングが完了
- 持続の為に、年2,3回のタッチアップが必要
~ホワイトニング材の種類~
- 漂白効果に違いはありません。
より白さを求める方は併用することをおすすめします。
|
 |
|
お問合せ・ご予約
06-6344-5535 |
矯正の虫歯対策
|
|
|
矯正の歯周病対策
|
|
|
矯正後のケア
|
|
|
矯正後歯を守るために
|
|
|
|
|