矯正後のゴールとは
矯正後のゴールと一般歯科治療後のゴールに違いはありません。
それは、どちらも、天然の歯が治療のゴールになるからです。
というのは、やはり天然の歯が一番、理想的な形・並びをしているのです。
つまり、天然の歯が一番よく噛めて、丈夫で、長持ちするのです。
天然の歯というのは、人のもっている何も手を加えられてない歯をいいます。
人が生まれながらに持っている歯は噛むために理想的なため、天然の歯や歯列の位置、左右対称性、並び、形、大きさなどを参考にして、治療のゴールを決めます。
矯正後のゴールとは、天然の歯ということになります。
では、天然の歯はどんなに噛んでいるのでしょうか?
- アンテリアガイダンス
(前歯が噛んでいて、アゴの動きを誘導する)
- バーティカルストップ
(臼歯部の噛みあわせがしっかりしている)
があるというのが、噛んでいるということです。
簡単にいえば、前歯も奥歯もしっかりと噛んでいる、当たっているということです。
当たり前のようですが、噛んでいるとは、こういう事です。
そして、前歯も奥歯もしっかり噛んいでる人は、残念ながらそう多くはいません。
出っ歯、デコボコ、受け口、しっかり噛めますか?
見るからに前歯が当たってないようでは、しっかり噛めているわけがありません。
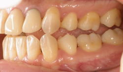
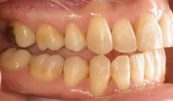
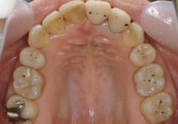
噛んでそうだが噛んでいない症例
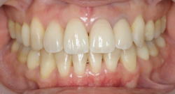
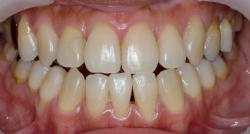
矯正により理想的に噛ませた症例
|
 |
|
お問合せ・ご予約
06-6344-5535 |