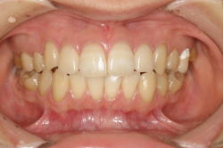
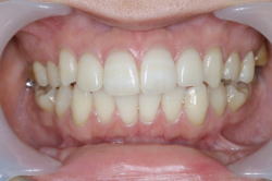
ホワイトニング料金
(料金はすべて税別です)
オフィスホワイトニング
歯のダメージをなくし、ホワイトニング効果を持続させる為、施術後にティーストリートメントを無料で実施しています。
ホームホワイトニング
- 全歯フルキット
\34,000
- 上下フルマウストレー
\7,000
- レフィル1シリンジジェル
\2,000
初回限定お試しコース
\8,000 お得!
- オフィスホワイトニング
(ティーストリートメント付)
上下20歯 1回
\10,000
※初回コースは、御一人様一回に限ります。
オフィスホワイトニング3回コース
\12,000 お得!!
- オフィスホワイトニング
上下20歯 3回
- ティーストリートメント
3回
\42,000
※3回コースを受けられた方は4回目以降、又はリタッチ時に1回\14,700で実施いたします。
(満足されるまで何回でも同一料金)
パーフェクトホワイトニングコース
\16,000 お得!!
- オフィスホワイトニング
上下20歯 3回
- ティーストリートメント
3回
- ホームホワイトニング
フルキット
\72,000
※当院のホームホワイトニング剤は最新のものを使用して頂く為に、海外から平行輸入で入手しておりますので数に限りがございます。お待ちして頂く可能性がありますのでご希望の方はお早めにスタッフに声をおかけ下さい。
※通常、ホームホワイトニングのマウストレーとレフィルシリンジジェルはフルキットをご購入された方に限り、販売させて頂きます。
|
 |
|
お問合せ・ご予約
06-6344-5535 |