アクセス 院長紹介 医院設備 メール相談
矯正装置の見え具合

上下顎、装置を付けると、

見え方
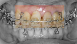
  • 上顎は、この程度、矯正装置が見えます。
  • 下顎は、全く見えません

見せたくないなら

少し工夫すれば、裏側から矯正することも可能です 。
見えませんが、舌感は表側より悪いです。ただ、表側のほうが、仕上がりがいいです。

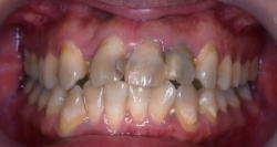
矯正装置の見え具合1 矯正装置の見え具合2

この程度の矯正範囲なら、見えませんし、短期間で終了します。

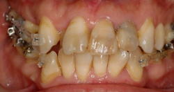
矯正装置の見え具合3

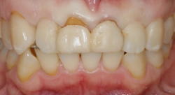
術前

矯正装置の見え具合4

歯肉ラインの調和

全体の矯正治療においても

見えるといえば見えるし、あまり見えないといえば見えないし、
どこまで気になりますか?
全く見えるとダメという方は、見えない装置STb(リンガル矯正)をお勧めします。

矯正装置の見え具合5

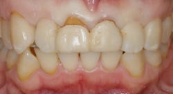
治療前


矯正装置の見え具合6

最初は、前歯の矯正はなく、見える歯への矯正装置の装着は、治療開始1年後です。


矯正装置の見え具合7

下の歯は、唇で矯正装置は見えません。


矯正装置の見え具合8

上の歯の矯正装置はこれ位見えます。


矯正装置の見え具合9

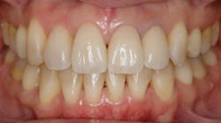
矯正後

上へ
お問合せ・ご予約
06-6344-5535


かわさと歯科は、矯正歯科(歯列矯正/歯並矯正)の実績が豊富な大阪梅田駅近くの歯医者です